Kontakt Zahnarzt Frank Meinhold Triftstr. 34 14624 Dallgow-Döberitz Fon: 03322 203540 Mail: info@zahnarzt-dallgow.de
Sprechzeiten Mo,Di 8.00-19.00 Uhr Mi,Fr 8.00-13.00 Uhr Do 14.00-19.00 Uhr
Zahnarzt in Dallgow Döberitz
© copyright by: Zahnarzt Frank Meinhold

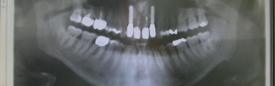
Digitales Röntgen…

…für die punktgenaue Behandlung Ihrer Schmerzen Das digitale Röntgen zählt zu den fortschrittlichen bildgebenen Verfahren. Es bietet eine hohe Genauigkeit bei sehr niedriger Strahlenbelastung für den Patienten. Wir haben die Möglichkeit je nach Indikation einzelne Zähne oder das gesamte Gebiss mit einer Panoramaschichtaufnahme darzustellen. Das Bild ist sofort anzeigefertig auf dem Monitor. Man kann damit sofort, intraoperativ den OP-Verlauf von Implantaten kontrollieren. Das digitale Zahnröntgen ist unverzichtbar für die Diagnose, Therapie und Verlaufskontrolle über Erkrankungen der Mundhöhle. Karies, Knochenabbau durch Parodontose und Entzündungen an der Wurzelspitze können auf einem Monitor im Sprechzimmer dargestellt werden.
Frank Meinhold
Kontakt Zahnarzt Frank Meinhold Triftstr. 34 14624 Dallgow-Döberitz Fon: 03322 203540 Mail: info@zahnarzt-dallgow.de
Sprechzeiten Mo,Di 8.00-19.00 Uhr Mi,Fr 8.00-13.00 Uhr Do 14.00-19.00 Uhr
Zahnarzt in Dallgow Döberitz
© copyright by: Zahnarzt Frank Meinhold

Digitales Röntgen…

…für die punktgenaue Behandlung Ihrer Schmerzen Das digitale Röntgen zählt zu den fortschrit- tlichen bildgebenen Verfahren. Es bietet eine hohe Genauigkeit bei sehr niedriger Strahlenbelastung für den Patienten. Wir haben die Möglichkeit je nach Indikation einzelne Zähne oder das gesamte Gebiss mit einer Panoramaschichtaufnahme darzustellen. Das Bild ist sofort anzeigefertig auf dem Monitor. Man kann damit sofort, intraoperativ den OP- Verlauf von Implantaten kontrollieren. Das digitale Zahnröntgen ist unverzichtbar für die Diagnose, Therapie und Verlaufskontrolle über Erkrankungen der Mundhöhle. Karies, Knochenabbau durch Parodontose und Entzündungen an der Wurzelspitze können auf einem Monitor im Sprechzimmer dargestellt werden.
Frank Meinhold